PET Scan Inflammation: What You Need To Know

B.Osunstate 124 views
PET Scan Inflammation: What You Need To Know

PET Scan Inflammation: What You Need to Know

Hey everyone! Ever heard of a PET scan and wondered what it can show us, especially when it comes to inflammation ? Well, you’re in the right place, guys. Today, we’re diving deep into how PET scans work and how they’re super useful for spotting inflammation in our bodies. Think of a PET scan, or Positron Emission Tomography, as a way to see your body working on a cellular level. It uses a special radioactive tracer, usually a type of sugar called FDG, that gets injected into your bloodstream. Cancer cells, and also areas of inflammation, tend to gobble up this sugar more than normal cells because they’re working extra hard. The PET scanner then detects the radioactivity emitted by the tracer, creating detailed images that highlight these areas of high activity. So, when a doctor looks at a PET scan, they’re not just seeing anatomy like an X-ray or CT scan; they’re seeing function and metabolic activity . This is a game-changer, especially when it comes to inflammation. Inflammation is your body’s natural response to injury or infection, but sometimes it can go rogue and cause problems. PET scans can help pinpoint where this inflammation is hiding, how severe it is, and whether it’s responding to treatment. It’s like having a high-tech detective tool for your insides!

Understanding Inflammation and PET Scans

So, let’s get a bit more technical, but don’t worry, we’ll keep it chill. Inflammation is a crucial part of your body’s defense system. When you get an injury, like a stubbed toe, or when you’re fighting off an infection, your immune system kicks into gear. This involves sending in white blood cells and other signaling molecules to the affected area. This process causes the classic signs of inflammation: redness, swelling, heat, and pain. While this is usually a good thing, sometimes this inflammatory process can become chronic or target the wrong tissues, leading to diseases like arthritis, inflammatory bowel disease, or even aiding the growth of certain cancers. This is where PET scans come into play, and they are incredibly valuable tools for physicians. The most common tracer used in PET scans, FDG, is a glucose analog. Remember how we talked about cells using sugar for energy? Well, inflamed tissues and cancer cells are like energy hogs; they consume significantly more glucose than most healthy tissues. When the FDG tracer is injected, it accumulates in these high-metabolism areas. The PET scanner detects the positrons emitted by the FDG, and the computer reconstructs this information into 3D images. Areas with a lot of FDG uptake appear as bright spots on the scan, indicating increased metabolic activity. Therefore, these bright spots on a PET scan can signify inflammation. It’s not a direct picture of inflammation itself, but rather a marker of the heightened cellular activity associated with it. This allows doctors to see inflammation in places that might be hard to detect with other imaging methods, such as deep within the body or spread across multiple areas. It gives them a functional map of the disease process, which is super important for making accurate diagnoses and planning the best treatment strategies for patients.

Why Use PET Scans for Inflammation?

Alright, so why go through the whole PET scan process just to look for inflammation? That’s a fair question, guys! Well, the truth is, PET scans offer a unique window into your body’s activity , making them incredibly powerful for detecting and evaluating inflammation. Unlike traditional imaging techniques like X-rays, CT scans, or MRIs, which primarily show the structure of your body – the bones, organs, and tissues – a PET scan shows function and metabolism . Inflammation is, at its core, a biological process involving increased cellular activity. Immune cells rush to the site, blood flow increases, and cells are working overtime to heal or fight off a threat. This heightened metabolic activity means these inflamed areas consume more energy, particularly glucose. Since the FDG tracer used in most PET scans mimics glucose, it gets concentrated in these active inflammatory sites. This makes inflammation light up like a Christmas tree on a PET scan. This ability to visualize metabolic changes allows doctors to detect inflammation even before it causes significant structural damage that might be visible on other scans. It’s particularly useful for identifying the extent of inflammation, especially in conditions where it can be widespread or subtle, like vasculitis (inflammation of blood vessels) or certain types of infections. Furthermore, PET scans can help differentiate between active inflammation and scarring or old injuries, which is crucial for determining the current state of a disease and whether active treatment is needed. For patients with suspected cancer, a PET scan can also help determine if inflammation is mimicking a tumor or if inflammation is present alongside cancer, potentially affecting treatment decisions. It’s a sophisticated tool that provides a level of detail about biological processes that other imaging methods simply can’t match, offering valuable insights for diagnosis, staging, and monitoring treatment effectiveness for a wide range of inflammatory conditions. So, it’s a pretty big deal!

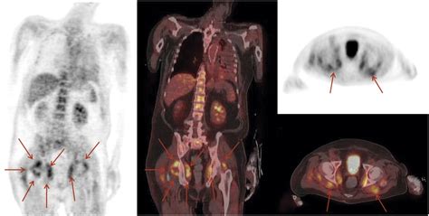
Interpreting PET Scan Results for Inflammation

Now, let’s talk about what the doctors actually see when they look at these scans, specifically regarding inflammation. When a radiologist or nuclear medicine physician interprets a PET scan, they’re looking for areas where the FDG tracer has accumulated more than expected. These areas of increased tracer uptake are often referred to as ‘hot spots’ and are the primary indicators of inflammation on a PET scan. However, it’s not always as simple as a bright spot automatically meaning active inflammation. Context is everything , guys. The interpretation needs to be done by experienced professionals who understand the nuances. For instance, certain normal physiological processes can also lead to increased FDG uptake. Think about the brain – it’s naturally a high-metabolism organ, so it will always show up brightly on a PET scan. Similarly, the bladder and kidneys will often show high uptake because they are involved in excreting the tracer. Muscles can also show increased uptake if they’ve been recently exercised. Therefore, the interpreting physician compares the pattern and intensity of the uptake to known normal patterns and considers the patient’s clinical history and symptoms. They’ll be looking for uptake in locations that are unexpected, in patterns that are characteristic of specific inflammatory diseases, or uptake that is significantly higher than in surrounding tissues. For example, in vasculitis, they might see increased uptake along the walls of blood vessels. In cases of infection, the hot spots might appear in a specific organ or soft tissue. They also consider the intensity of the uptake – a very bright, focal spot is more likely to represent significant pathology than a mild, diffuse increase. Sometimes, PET scans are combined with CT scans (PET/CT) to provide both functional and anatomical information, helping to pinpoint exactly where the metabolic activity is occurring within the body’s structures. This combination is incredibly powerful for accurate localization and characterization of inflammatory processes. It’s a complex puzzle, but when pieced together correctly, it provides invaluable information for diagnosing and managing conditions involving inflammation.

PET Scans vs. Other Imaging for Inflammation

So, we’ve touched on it a bit, but let’s really dig into why a PET scan is often the go-to or a crucial add-on when doctors suspect inflammation , and how it stacks up against other imaging buddies like CT and MRI. Think of it this way: CT and MRI are like really detailed architectural blueprints of your body. They show you the structure, the shape, the size, and the location of organs, tissues, and any abnormalities like tumors or fluid collections. They’re fantastic for seeing what’s there and where it is . However, they don’t always tell you if that area is actively inflamed or metabolically active. Inflammation is a dynamic biological process, and sometimes, even with a clear structural abnormality, it’s hard to tell if it’s an old injury, scar tissue, or an active, ongoing inflammatory process that needs treatment. This is where the PET scan shines. Because PET scans, using tracers like FDG, measure metabolic activity – essentially, how busy the cells are – they can detect inflammation earlier and often more precisely than CT or MRI alone. **Imagine an area that looks a bit suspicious on a CT scan. A PET scan can reveal if that area is