Metaplastic Breast Cancer: Understanding This Rare Type

B.Osunstate 72 views
Metaplastic Breast Cancer: Understanding This Rare Type

Metaplastic Breast Cancer: Understanding This Rare Type

Hey everyone! Today, we’re diving into a topic that might sound a bit intimidating, but understanding it is super important, especially for women’s health. We’re talking about Metaplastic Breast Cancer (MBC) . You might not have heard of it as much as other breast cancers, and that’s because it’s a rare form. But don’t let its rarity fool you; it’s crucial to know the facts. So, grab a cup of coffee, get comfy, and let’s break down what metaplastic breast cancer is, how it differs from more common types, and what you need to know.

What Exactly is Metaplastic Breast Cancer?

So, what makes Metaplastic Breast Cancer stand out from the crowd? Well, guys, it’s all about the cells. In typical breast cancers, the cancer cells originate from the cells lining the milk ducts (ductal carcinoma) or the milk-producing glands (lobular carcinoma). However, metaplastic breast cancer is different. It’s a heterogeneous group of malignant tumors where the cancer cells have undergone a process called metaplasia. Essentially, these cells transform from one type to another. Instead of just being glandular cells, they can change into other cell types, like squamous cells (think of the cells that make up your skin) or even cartilage or bone cells. Because of this transformation, metaplastic tumors often have a mix of different cell types within them, making them complex to diagnose and treat. The most common subtype, accounting for about half of all metaplastic breast cancers, is squamous cell carcinoma. Another subtype involves spindle cells, which can resemble fibroadenomas, benign breast tumors, making initial diagnosis tricky. The rare nature of metaplastic breast cancer means that research is ongoing, and treatment protocols are continually being refined based on new findings. Understanding this cellular transformation is key to grasping why MBC behaves differently and often requires a tailored approach to treatment compared to more common forms of breast cancer.

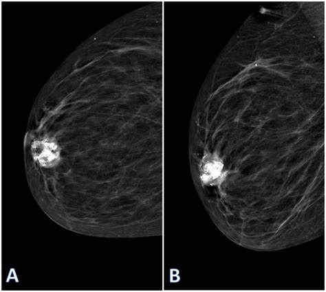
This unique cellular characteristic also means that metaplastic breast cancer can sometimes be harder to detect on standard screening mammograms. Because it doesn’t always form the distinct, dense masses that other breast cancers do, it can be overlooked or mistaken for a benign lump. This is why it’s so important to be aware of any changes in your breasts and to report them to your doctor promptly. Don’t rely solely on mammograms; breast self-awareness is your superpower here! Knowing your breasts, what’s normal for you, and what’s not is an absolutely vital part of early detection. If you feel a lump or notice any other changes, don’t hesitate to get it checked out. It’s always better to be safe than sorry, right? The mixed cell types in MBC can also influence how it responds to different treatments. For instance, treatments that work well for hormone-receptor-positive breast cancers might not be as effective for MBC because its cells have undergone significant changes. This complexity underscores the need for specialized diagnostic tools and personalized treatment strategies. The challenge in diagnosis and treatment is precisely why raising awareness and encouraging further research into metaplastic breast cancer is so incredibly important for the medical community and for patients alike. It’s a journey of discovery, and every bit of knowledge helps us move forward.

Key Differences from Common Breast Cancers

Alright, guys, let’s get down to the nitty-gritty. How does Metaplastic Breast Cancer differ from the breast cancers we hear about more often, like invasive ductal carcinoma or invasive lobular carcinoma? The primary distinction lies in the type of cells involved and their origin. Most breast cancers start in the cells that line the milk ducts or lobules. However, as we touched upon, MBC involves cells that have transformed, or metaplastic , into different cell types. This means that metaplastic tumors are often triple-negative . What does that mean, you ask? It means the cancer cells do not have any of the three common drivers: estrogen receptors (ER), progesterone receptors (PR), or HER2 protein. This is a significant difference because many common breast cancers are hormone-receptor-positive or HER2-positive, making them responsive to targeted therapies like hormone therapy or HER2-targeted drugs. Since MBC is typically triple-negative, these standard treatment options are often not effective. This lack of specific targets makes treatment a bit more challenging and often relies more heavily on chemotherapy. Another key difference is how they appear on imaging. While invasive ductal carcinoma often shows up as a distinct mass on a mammogram, MBC can sometimes appear as a spiculated mass or even be difficult to distinguish from benign conditions like a fibroadenoma, especially if it contains cartilage or bone. This can lead to delays in diagnosis if not carefully evaluated. The rate of growth can also vary. While some sources suggest MBC tends to grow and spread more aggressively than some other types, this isn’t universally true for all cases, and individual tumor biology plays a huge role. However, the potential for rapid growth is a concern that healthcare providers take seriously when managing MBC. The prognosis can also differ. Because of its aggressive nature and triple-negative status, metaplastic breast cancer is often associated with a less favorable prognosis compared to hormone-receptor-positive breast cancers. However, this is a generalization, and many factors, including the stage at diagnosis, the specific subtype of MBC, and the patient’s overall health, significantly impact outcomes. It’s a complex picture, and each case is unique.

Furthermore, the genetic mutations found in metaplastic breast cancer can also differ from other breast cancer types. Researchers are continuously working to identify the specific genetic pathways that drive MBC, hoping to uncover new therapeutic targets. The rarity of this cancer means that collecting enough genetic data for comprehensive analysis is a challenge, but progress is being made. This research is vital because understanding the underlying genetic landscape can lead to the development of more precise and effective treatments. The implications of these differences are profound for patient care. When a diagnosis of MBC is made, the treatment plan needs to be highly individualized. Instead of relying on established protocols for hormone-driven cancers, oncologists must consider the aggressive nature of triple-negative cancers and the unique cellular makeup of MBC. This often involves a multidisciplinary approach, bringing together surgeons, medical oncologists, radiation oncologists, and pathologists to create the best possible strategy. The differences are not just academic; they have real-world consequences for how patients are diagnosed, treated, and monitored throughout their journey. The more we understand these distinctions, the better equipped we are to fight this disease effectively.

Symptoms and Diagnosis

Okay, let’s talk symptoms, guys. For Metaplastic Breast Cancer , the symptoms can be quite similar to other breast lumps, but there are nuances to be aware of. The most common sign is a breast lump or mass. This lump is often described as firm, palpable, and sometimes grows relatively quickly. Unlike some slower-growing tumors, MBC lumps can sometimes appear or enlarge more rapidly, which is a red flag. Some women report skin changes over the lump, such as dimpling or thickening, or nipple changes like inversion. Because MBC can sometimes mimic benign conditions, it’s crucial not to dismiss any new lumps or changes. Other potential symptoms, though less common, might include nipple discharge (especially if it’s bloody or occurs spontaneously) or a change in breast size or shape. Remember, feeling a lump doesn’t automatically mean it’s cancer, but it always warrants a professional medical evaluation. The diagnostic process for metaplastic breast cancer often starts with a clinical breast exam, followed by imaging tests. Mammograms and ultrasound are standard initial steps. However, as mentioned, MBC can sometimes be tricky to spot on these initial scans. It might appear as a dense, irregular mass, or sometimes it can be difficult to distinguish from a benign lesion, especially if it has a cartilaginous or cystic component. This is where a biopsy becomes absolutely essential. A biopsy is the only way to definitively diagnose metaplastic breast cancer. A small sample of the suspicious tissue is removed and examined under a microscope by a pathologist. They look at the cell types, their arrangement, and other characteristics to determine if cancer is present and, if so, what specific type it is. For MBC, the pathologist will note the presence of different cell types (epithelial and mesenchymal) and confirm if it’s malignant. Immunohistochemistry (IHC) is a crucial part of this process, helping to determine the hormone receptor status (ER, PR) and HER2 status. As we’ve discussed, MBC is often triple-negative, and the IHC results will confirm this. If a biopsy confirms metaplastic breast cancer, further tests will be done to determine the stage of the cancer (how large it is and if it has spread). This might include imaging scans like CT scans, MRIs, or PET scans. The goal is to get a complete picture of the disease to guide treatment decisions. The diagnostic journey can be stressful, but prompt and accurate diagnosis is the first critical step in effectively managing this rare condition. Don’t hesitate to ask your doctor questions throughout the process; understanding each step is empowering.

It’s also worth noting that the rate of growth of metaplastic breast cancer can vary significantly from person to person. Some tumors may grow quite rapidly, while others might be slower. This variability adds another layer of complexity to diagnosis and treatment planning. When a lump is discovered, doctors will often monitor its growth rate, but if it’s suspicious or growing quickly, a biopsy is usually recommended without delay. The initial interpretation of imaging can sometimes be challenging because metaplastic tumors can have diverse appearances. For example, a metaplastic tumor composed largely of squamous cells might look different on imaging than one with significant chondroid (cartilage) or osseous (bone) elements. This is why the pathologist’s expertise is so invaluable. They are trained to identify these specific cellular components and differentiate them from other breast conditions. The combination of advanced imaging techniques, such as MRI, which can sometimes provide better visualization of complex lesions, and a thorough pathological review is key to achieving an accurate diagnosis. Furthermore, the staging process is critical. It helps doctors understand the extent of the cancer, which directly influences the treatment options and the patient’s prognosis. Staging involves assessing the size of the primary tumor (T), whether cancer has spread to nearby lymph nodes (N), and if it has metastasized to distant parts of the body (M). For metaplastic breast cancer, like other cancers, the TNM staging system is used. Early detection, combined with accurate staging and a precise diagnosis, offers the best chance for successful treatment and improved outcomes.

Treatment Options

When it comes to treating Metaplastic Breast Cancer , guys, it’s important to remember that because it’s rare and often triple-negative, the treatment approach can be quite different from more common breast cancers. The cornerstone of treatment for MBC is typically surgery . The goal is to remove the tumor completely. Depending on the size and location of the tumor, this might involve a lumpectomy (removing just the tumor and a margin of healthy tissue) or a mastectomy (removing the entire breast). Lymph node removal may also be necessary if there’s concern about cancer spread to the lymph nodes. After surgery, chemotherapy is often recommended. As we’ve discussed, MBC is usually triple-negative, meaning it doesn’t respond to hormone therapy or HER2-targeted drugs. Chemotherapy, which uses drugs to kill cancer cells, is therefore a primary systemic treatment option. The specific chemotherapy drugs and regimen will be tailored to the individual patient and the characteristics of their tumor. The oncologist will consider factors like the stage of the cancer, the patient’s overall health, and how aggressive the tumor appears. Radiation therapy might also be part of the treatment plan, particularly after surgery, to help kill any remaining cancer cells in the breast area or lymph nodes and reduce the risk of recurrence. It’s often used in conjunction with chemotherapy or after surgery, depending on the specific situation and the surgeon’s recommendations. Targeted therapy and immunotherapy are areas of active research for MBC. While traditional targeted therapies for ER-positive or HER2-positive breast cancer aren’t effective, researchers are exploring new targets specific to triple-negative breast cancers, including metaplastic types. Immunotherapy, which harnesses the body’s own immune system to fight cancer, has shown promise in some triple-negative breast cancers, and studies are investigating its role in MBC. Clinical trials are incredibly important for rare cancers like MBC. They offer patients access to potentially groundbreaking new treatments and contribute valuable data to help researchers better understand and treat the disease. If you have MBC, discussing clinical trial options with your oncologist is a really good idea. The treatment journey for MBC can be challenging, but advancements in research and a multidisciplinary approach are continually improving outcomes. It’s vital to have open communication with your healthcare team about your treatment plan, potential side effects, and any concerns you may have. They are your partners in this fight.

It’s crucial to understand that the decision-making process for treatment is highly individualized. Factors such as the tumor’s grade (how abnormal the cells look), the presence of specific genetic mutations within the tumor, and the patient’s overall health and preferences all play a significant role. For instance, even though MBC is typically triple-negative, there might be rare instances where certain subtypes exhibit characteristics that could make them responsive to different therapies, which is why precise pathological analysis is so important. The multidisciplinary team – comprising surgeons, medical oncologists, radiation oncologists, pathologists, and genetic counselors – collaborates to devise the most effective strategy. They review all the available data, including imaging, biopsy results, and patient history, to make informed recommendations. Post-treatment surveillance is also a critical component of care. Regular follow-up appointments and imaging scans are necessary to monitor for any signs of cancer recurrence or new cancer development. This vigilant follow-up ensures that any potential issues are caught early, when they are most treatable. The ongoing research into metaplastic breast cancer is particularly exciting. Scientists are working to unravel the complex biology of these tumors, aiming to identify novel drug targets and develop more effective treatment regimens. This includes exploring new combinations of chemotherapy, investigating novel immunotherapy approaches, and understanding the role of the tumor microenvironment. The hope is that as our understanding deepens, we can improve both survival rates and quality of life for individuals diagnosed with MBC. Participation in clinical trials, when appropriate, is a valuable way to contribute to this progress and potentially benefit from cutting-edge treatments.

Prognosis and Outlook

Now, let’s talk about the outlook, guys. The prognosis for Metaplastic Breast Cancer can be variable, and it’s influenced by several factors. As we’ve touched on, MBC is often considered more aggressive than some other common types of breast cancer, partly because it is frequently triple-negative. This means it doesn’t respond to hormone therapies that are effective for ER-positive cancers, and it also lacks the HER2 protein that targeted therapies are designed to attack. These factors can make treatment more challenging and, in some cases, lead to a higher risk of recurrence or metastasis. However, it’s super important not to generalize too much. The prognosis is highly individualized and depends heavily on the stage at which the cancer is diagnosed. Early-stage MBC that is completely removed by surgery generally has a better outlook than late-stage cancer that has spread to distant parts of the body. Other factors that influence the prognosis include the specific subtype of metaplastic cancer, the grade of the tumor (how abnormal the cells look), and the patient’s overall health and response to treatment. While research is ongoing, many studies indicate that patients with MBC may have a slightly lower survival rate compared to those with more common types of breast cancer, particularly when comparing similar stages. This is why early detection and prompt, aggressive treatment are so critical. The triple-negative status, while posing treatment challenges, doesn’t necessarily mean a hopeless outlook. Significant advancements are being made in chemotherapy regimens, and research into immunotherapy and other targeted approaches for triple-negative cancers offers increasing hope. The medical community is constantly learning more about MBC, and this growing knowledge is leading to better management strategies and improved outcomes over time. Remember, statistics are just numbers; they don’t define an individual’s journey. Many people diagnosed with MBC live full and healthy lives, especially with timely and appropriate care.

It’s also essential to focus on the positive aspects and the progress being made. The very fact that we are discussing MBC in more detail, that research is actively being conducted, and that treatment options are expanding is a testament to the dedication of the medical and scientific communities. For patients, maintaining a positive mindset, leaning on support systems (friends, family, support groups), and actively participating in their care can make a significant difference. Open communication with your healthcare team about your concerns, fears, and hopes is paramount. They can provide the most accurate and up-to-date information regarding your specific situation. Furthermore, advances in imaging and pathology are continually improving our ability to diagnose MBC earlier and more accurately. This means that potentially, more cases will be caught at earlier, more treatable stages. The development of new drugs and treatment strategies, often through clinical trials, offers avenues for hope and improved outcomes. For example, the success of immunotherapy in other triple-negative cancers is spurring research into its efficacy for MBC. While the journey with metaplastic breast cancer can be daunting, the ongoing advancements in research, the increasing awareness of this rare condition, and the personalized approach to treatment are all contributing to a more optimistic outlook. The focus is shifting towards not just treating the cancer but also improving the overall quality of life for patients throughout their diagnosis and treatment journey.

The Importance of Research and Awareness

Finally, let’s circle back to why talking about Metaplastic Breast Cancer is so vital: research and awareness . Because MBC is a rare cancer, it means that fewer studies have been conducted compared to more common breast cancer types. This scarcity of data presents a challenge for researchers trying to understand its unique biology, identify reliable biomarkers, and develop the most effective treatments. Increased research funding and collaborative efforts are absolutely crucial. When more studies are done, we gain a deeper understanding of why MBC forms, how it behaves differently, and what makes it resistant to certain therapies. This knowledge is the bedrock for developing new drugs and treatment strategies specifically tailored for MBC. Patient advocacy plays a massive role here too. By sharing their stories and experiences, individuals affected by MBC help raise awareness and can encourage greater investment in research. Organizations dedicated to breast cancer research often highlight the needs of rare cancer subtypes, and support from the public is essential to fund these specialized initiatives. Raising awareness among the general public and, importantly, among healthcare professionals is also key. The more doctors are aware of MBC, its distinctive features, and potential diagnostic challenges, the quicker and more accurate diagnoses can be made. This includes educating radiologists to better identify suspicious findings on mammograms and educating pathologists on the specific characteristics of MBC during biopsy analysis. When doctors are aware, they are better equipped to guide patients toward the right diagnostic pathways and treatment centers. The triple-negative nature of MBC and its potential for rapid growth mean that time is often of the essence. Faster diagnosis directly translates to earlier treatment initiation, which, as we’ve discussed, significantly impacts prognosis. Think of it this way: every piece of research, every awareness campaign, and every patient story contributes to a larger mosaic that helps us combat this disease more effectively. The more we know, the stronger our arsenal becomes against metaplastic breast cancer. So, let’s keep talking, keep learning, and keep supporting the research that brings us closer to better outcomes for everyone affected by this rare form of breast cancer.

The collaborative nature of research is also a significant advantage when dealing with rare diseases. Initiatives that pool patient data and tissue samples from different institutions worldwide allow researchers to assemble larger cohorts for study. This is invaluable for metaplastic breast cancer, where individual centers might only see a handful of cases per year. By working together, scientists can identify subtle patterns, genetic mutations, and treatment responses that might otherwise be missed. Furthermore, advancements in technology, such as next-generation sequencing and sophisticated imaging techniques, are enabling researchers to analyze MBC tumors with unprecedented detail. This molecular-level understanding is critical for discovering new therapeutic targets. Public awareness campaigns not only benefit research by potentially increasing donations and support but also empower individuals. When people are informed about different types of breast cancer, including rarer ones like MBC, they are more likely to be proactive about their health, recognize potential warning signs, and seek medical attention promptly. This proactive approach is a powerful tool in the fight against cancer. Ultimately, the goal is to ensure that individuals diagnosed with metaplastic breast cancer receive the best possible care, informed by the latest scientific understanding and driven by ongoing innovation. Continued investment in research and sustained efforts to raise awareness are the cornerstones for achieving this goal and improving the lives of those affected by MBC.