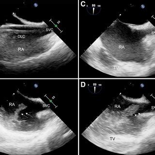
Mastering The Bicaval View Echo Probe Position

B.Osunstate 34 views
Mastering The Bicaval View Echo Probe Position

Mastering the Bicaval View Echo Probe Position

Hey guys! Ever wondered how those crystal-clear images of your heart’s big veins are captured during an echocardiogram? Well, it all boils down to the bicaval view echo probe position . This is super important for cardiologists and sonographers to accurately diagnose and understand what’s happening inside the heart. Getting this position right allows us to visualize the superior and inferior vena cava (the big veins bringing blood back to the heart) and the right atrium, giving a comprehensive view of the heart’s function. Let’s dive deep into how to nail this position and get those perfect images! This is critical for assessing right heart function, detecting issues like thrombus (blood clots), and measuring the size and function of the vena cava. Accurate probe placement is key to getting these measurements right and making sure patients get the best care.

Understanding the Importance of the Bicaval View

So, why is this bicaval view so crucial? Think of the heart as a bustling city, and the vena cava are the highways bringing in all the traffic (blood) from the rest of the body. The bicaval view gives us a panoramic view of these highways as they enter the heart’s main station (the right atrium). This view is your go-to for checking the size and shape of these major vessels and how they function. This is especially vital when checking for clots, which can be deadly. It also helps in assessing the pressure within the right atrium, a key indicator of heart health. Furthermore, it gives a good look at the tricuspid valve, ensuring it’s working properly. This view is also super helpful in assessing patients with shortness of breath, chest pain or other symptoms related to heart problems, the bicaval view can provide crucial insights.

Now, let’s get into the nitty-gritty of how to get the perfect view. First, remember the patient should be lying on their left side, which is known as the left lateral decubitus position. This helps bring the heart closer to the chest wall. The probe itself is the magic wand, and the specific type you use (usually a phased array) is designed for this kind of imaging. Then comes the tricky part: the probe position. Imagine you are trying to catch the sun at the optimal angle. The goal is to position the probe under the sternum (the breastbone), aiming slightly towards the patient’s right shoulder. The idea is to align the ultrasound beam with the vena cava so you can see them clearly as they enter the right atrium. Be patient and adjust slightly until you get the best image. The orientation marker on the probe is your best friend here; it should point toward the patient’s right. It may take some practice, but you’ll get the hang of it.

Step-by-Step Guide to Probe Placement

Alright, let’s break down the process step-by-step for the bicaval view echo probe position . First, you’ll need the right equipment: an ultrasound machine, the right kind of probe (usually a phased array), and some acoustic gel (that stuff that makes everything glide smoothly). The patient should be positioned in the left lateral decubitus position. This positioning moves the heart closer to the chest wall, making it easier to get clear images. Now, apply the acoustic gel liberally to the probe head. This helps eliminate air pockets and ensures good contact with the skin. Place the probe just below the sternum, aiming towards the patient’s right shoulder. Gently angle the probe and try to visualize the right atrium and the vena cava. Remember to keep the probe flat against the chest wall to get the best contact and minimize any loss of image quality. Slight adjustments are often necessary to find the sweet spot, the one where the images are super clear. Scan through the various angles to see which one gives you the best picture of the superior and inferior vena cava entering the right atrium.

So, there is some troubleshooting tips, like if you’re not getting a good view of the inferior vena cava, try angling the probe slightly more towards the head of the patient. If you’re missing the superior vena cava, angle towards the right shoulder. Adjust the depth settings on the ultrasound machine to optimize the image, ensuring you can see the entire vessels. Also, make sure you’re using the right settings on the ultrasound machine. Optimize the gain, depth, and focus to enhance image quality. Practice makes perfect, so don’t be discouraged if it takes a few tries to nail the position. Each patient is unique, so expect to make adjustments. The more you do it, the better you get at it.

Common Challenges and Solutions

Even with practice, you might run into a few snags when trying to find the perfect bicaval view echo probe position . One of the most common issues is poor image quality . This can be due to a variety of factors: the patient’s body habitus (body type), air pockets between the probe and skin, or incorrect probe angulation. If you’re struggling to get a good image, try adjusting the probe’s angle, and ensuring that there are no air bubbles, and make sure that the probe is making good contact with the chest wall, then adjust the machine settings to optimize the image. In some cases, patients with a larger chest size may require more adjustments. Another challenge is identifying the structures correctly. The superior vena cava can sometimes be mistaken for the ascending aorta. Make sure to carefully trace the vessels back to their origin. Use color flow Doppler to help differentiate between the two; the superior vena cava will show venous flow (away from the probe). Also, make sure you’re looking at the right anatomical area. A good starting point is the subcostal view, and then you can gradually move the probe up to the parasternal. Sometimes it helps to take a deep breath in and hold it. This maneuver can bring the heart closer to the probe and make imaging easier. Remember, every patient is different, and being adaptable is key.

Tips for Optimizing Image Quality

Alright, let’s talk about upping your game and making sure those bicaval view images are crystal clear. First, always make sure the patient is in the correct position – the left lateral decubitus. This helps bring the heart closer to the probe. Second, use plenty of acoustic gel. This eliminates air pockets and creates a good contact between the probe and skin. The more the merrier! Third, pay attention to the probe orientation. The orientation marker on the probe should always point to the patient’s right. This helps you understand how the image is oriented on the screen. Fourth, fine-tune the ultrasound machine settings. Adjust the gain, depth, and focus to get the best image quality. Experiment with different settings and see what works best. Also, remember that some patients will naturally be easier to image than others. A patient’s body type can influence image quality. The more practice you get, the easier it will become to troubleshoot these issues. Also, remember that different machines have different settings and controls. Always familiarize yourself with the machine you are using.

Moreover, don’t be afraid to ask for help! If you’re having trouble, don’t hesitate to consult with a more experienced sonographer or cardiologist. They can offer valuable tips and tricks to help you get the best possible images. Take your time, be patient, and remember that practice makes perfect. Keep practicing and refining your technique. With time and effort, you’ll be able to consistently capture high-quality bicaval views and provide excellent patient care.

Advanced Techniques and Considerations

Once you’ve mastered the basics of the bicaval view echo probe position , there are some advanced techniques that can help you up your game. For example, using different windows. While the subcostal view is the standard for the bicaval view, in some patients, you might need to try other windows, such as the apical or parasternal windows, to get a better view of the vena cava. Varying probe pressure. Applying gentle pressure is key, but sometimes, you may need to apply a bit more pressure to get a clearer image. Be careful not to push too hard, as this can compress the heart. Another option is using contrast agents. In certain cases, contrast agents can be used to improve image quality and visualize the heart’s structures more clearly. Doppler techniques are also important. Use color and spectral Doppler to assess the flow within the vena cava and the right atrium. This can help identify any abnormalities or potential problems. Also, remember to stay updated on the latest techniques and technologies. Cardiology and ultrasound technology are constantly evolving, so it’s important to stay current. Reading journals, attending conferences, and participating in continuing education courses can help you stay up-to-date.

Also, consider the patient’s condition. In patients with certain conditions, such as pericardial effusion or cardiac tamponade, the bicaval view is especially important for assessing the impact of the fluid on the heart. Be aware of artifacts. Ultrasound images can sometimes contain artifacts, such as reverberation or shadowing. Be aware of these artifacts and how they might affect the image. Furthermore, always correlate your findings with other clinical information, such as the patient’s history, physical examination, and other imaging studies.

Conclusion

So, mastering the bicaval view echo probe position is critical for anyone involved in cardiac ultrasound. It’s the key to getting great images of the superior and inferior vena cava and the right atrium. By following these steps and tips, you can greatly improve the quality of your images and make accurate diagnoses. Remember, practice is key. Each patient is unique, and you’ll become more comfortable with the technique over time. Keep learning, stay curious, and you’ll become a pro in no time! Keep practicing, stay patient, and enjoy the journey to becoming an expert in echocardiography. Good luck, and keep those images clear!